|
|
If nothing happens:
- Right-click on the link "Pentadentate Chelator (PDC)" and select "Save Link As...".
- Choose the destination of the file "BestIMAC07.pdf" and click on "Save".
- When the download has finished, double-click on the file "BestIMAC07.pdf" and the catalogue will open in Adobe Reader.
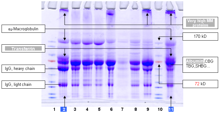
BINDING CAPACITY IN SERIAL PROTEINS
OF NICKEL(II)-IMMOBILIZEDCHELATOR
FROM DIFFERENT COMPANY SUPPLIERS
Sample : human serum in excess
Matrix volume column : 1 ml of all Ni-Chelators and Cu-PDC-6FF except Qiagen 1.5 ml
Washing buffer : PBS 0.1 M pH 8.0
Elution buffer : PBS 50 mM, Imidazole 500mM pH 7.5
SDS PAGE 12% in the presence of b-mercaptoethanol

1, 10 : Markers expressed in kD : 170, 130, 95, 72, 55, 43, 34, 26, 17, 11
2 : Ni-Sepharose 6 fast flow from GE Healthcare
3 : Ni-PDC-Sepharose 6 fast flow (Ni-PDC-6FF) of Affiland
4 : Ni-PDC-Sepharose 4 fast flow (Ni-PDC-4FF) of Affiland
5 : Ni-PDC-Sepharose CL-4B (Ni-PDC-4S) of Affiland
6 : Ni-PDC-Sepharose CL-6B (Ni-PDC-6S) of Affiland
7 : Ni-His-link from Promega
8 : Ni-PDC-Streamline Quartz Base Matrix (Ni-PDC-SLQ) of Affiland
9 : Ni-NTA from Qiagen
11 : Cu-PDC-Sepharose 6 fast flow (Cu-PDC-6FF) of Affiland
Binding capacity in serial proteins (lyophilized, free of salt)
expressed in milligrams per ml of resin
Affiland Ni-PDC-6FF : 15 mg/ml resin |
Affiland Ni-PDC-4FF : 12 mg/ml resin |
Affiland Ni-PDC-4S : 12 mg/ml resin |
Affiland Ni-PDC-6S : 18 mg/ml resin |
Affiland Ni-PDC-SLQ : 10 mg/ml resin |
Affiland Cu-PDC-6FF > 50 mg/ ml resin |
PDC® : pentadentate chelator, patented products of Affiland |
GE Healthcare Ni-6 fast flow : 12 mg/ml resin |
Qiagen Ni-NTA : 8 mg/ml resin |
|
Promega His-link : approx.1 mg/ml resin |
OBSERVATION : GE Healthcare Ni-6 fast flow gives the same qualitative results as
Affiland Cu-PDC-6 FF |
PDC (pentadentate chelator) & PDC kit for IMAC
6x His-tagged protein purification with PDC using PDC KIT
PMIB (polyvalent metal ion binding resin) for water, buffers & proteins free of polyvalent metal ions
Iminodiacetic acid-Agarose for IMAC
|